Featured Post

35+ Uzbekistan Engraving Copper UK

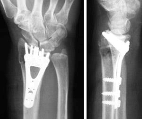
42+ Broken Wrist Bones Xray US

42+ Broken Wrist Bones Xray US. The game uses a camera for a more realistic effect! It's important to treat a broken wrist as soon as possible.

Another Fractured Ulna Recovery Time About 8 Weeks Wrist Fracture Xray Inlinespeedskating Injury Bones Broke Bone Fracture Fractured Arm Broken Bone
Another Fractured Ulna Recovery Time About 8 Weeks Wrist Fracture Xray Inlinespeedskating Injury Bones Broke Bone Fracture Fractured Arm Broken Bone from i.pinimg.com
Для просмотра онлайн кликните на видео ⤵. It articulates with the metacarpal of the thumb. This is a repository of normal pediatric bone xrays and their examples for a quick reference look.

Broken bones include arm, wrist, leg, ankle, foot, rib, back, skull and more.

To understand how per world configuration works please read this1 first. New bone forms within a few weeks of the injury, although. So i was wondering what wrist bones are hard to detect when broken or seen under an xray? It's important to treat a broken wrist as soon as possible.

Komentar